ホワイトニングとは
歯の表面の部分、一番外側にある部分をエナメル質といいます。
そのエナメル質は半透明で象牙質の色が透けて黄ばんで見えています。
歯を白く見せるためには、曇りガラスのようなマスキング効果が必要です。
エナメル質は無数のエナメル小柱が束になって構成されています。ホワイトニング剤から発生した酸素が、エナメル質表層のエナメル小柱の構造を角状から球状に変化させます。それにより球状となったエナメル小柱表面に光が乱反射してマスキング効果を得ることができ、歯が白く見えます。

ホワイトニングの種類
オフィスホワイトニング
歯科医院で行うホワイトニングです。
高濃度の薬剤を塗布して専用のライトで活性化します。
施術時間は約2時間で即効性があるのが特徴です。
ホームホワイトニングに比べて色の後戻りが早いので、最善の白さを維持するためにホームホワイトニングと併用すると効果的です。

ホームホワイトニング
マウスピースを作成して自宅で行うホワイトニングです。
マウスピースにホワイトニングジェルを入れて2時間以上装着します。
個人差がありますが約2~4週間で効果が得られます。
希望の白さまで自分のペースで続けられることと、比較的色の後戻りが少ないことが特徴です。
またジェルを追加購入すれば後戻りした後も繰り返しホワイトニングすることができるので、定期的に行うことで白い状態を維持することができます。

デュアルホワイトニング
オフィスホワイトニングとホームホワイトニングを併用するホワイトニングです。
そのほかのホワイトニング
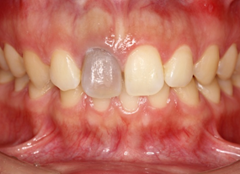
ウォーキングブリーチ
神経のない歯を内部からホワイトニングします。
神経のない歯は変色してしまうため表面から薬剤を作用させるホワイトニングでは白くすることができません。
大きく詰め物がしてある場合やかぶせ物で治療する歯には効果がなく、適応が限られるため担当医とご相談ください。
ホワイトコート
見た目が気になる歯の表面を一時的に白くコーティングします。
歯を削ることなく短時間で白くすることができます。
効果は永続的なものではなく約1~2ヶ月ほどです。
メラニン色素除去
タバコ等で着色した歯ぐきの色をきれいなピンク色に戻します。

料金表
オフィスホワイトニング
48,000円(税込52,800円)
歯科医院で行うホワイトニングです。
ホームホワイトニング
24,000円(税込26,400円)
マウスピースを作製して自宅で行うホワイトニングです。
デュアルホワイトニング
67,000円(税込73,700円)
オフィスホワイトニングとホームホワイトニングを併用して行います。
ホームホワイトニングジェル(濃度によって費用が異なります)
10% 2,000円(税込2,200円)
15% 2,500円(税込2,750円)
20% 3,000円(税込3,300円)
※ホワイトニングジェルのみ購入の場合
1本につき 1,000円(税込1,100円)追加
ホワイト二ングトレーの追加
10,000円(税込11,000円)
破損や紛失した場合の上下各1個の料金です。
ウォーキングブリーチ(1歯)
30,000円(税込33,000円)
神経のない歯の中から白くするホワイトニングです。
メラニン色素除去
38,000円(税込41,800円)
タバコなどで着色した歯ぐきの色を綺麗なピンク色にします。
ホワイトコート
前歯12本 18,000円(税込19,800円)
前歯6本 10,000円(税込11,000円)
1歯 2,000円(税込2,200円)
見た目が気になる歯の表面を一時的にコーティングします。
ホワイトコート除去(1歯)
当院にて施術したものの除去 500円(税込550円)
他院にて施術したものの除去 1,000円(税込1,100円)































